就像其他口腔創傷的情況一樣,必須由牙科醫師檢查受損部位並診斷後,才能確定是否還要進行治療,並有可能配合您的狀況進行X光攝影檢查。
如果是因爲牙齒斷裂或破損而感到疼痛,您可能會需要非處方止痛藥,並請儘可能地在向牙科醫師求診時,攜帶著牙齒的斷裂部分一同前往。
如果是因爲撞擊導致整顆牙齒脫落,請儘快帶著脫落的牙齒,向牙科醫師求診。因為您的牙齒將還有透過「再植」的治療,而恢復原狀。
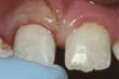
如果碎裂部位較小,而且沒有疼痛,您可以隨時決定是否進行修復,或如何進行修復。至於,碎裂部位必須使用藥物覆蓋或是手術治療,則取決於碎裂面積的大小。其他的治療方法還包括了上釉質, 鑲嵌牙冠或用填料補牙。您可以向牙科醫師諮詢相關治療方法的詳情。如果是填料或者假牙碎裂,則應當立即進行治療更換。
當牙齒出現裂縫或斷裂時,應當儘快治療,以免牙齒進一步受損,並應該視需要進行牙根管療法或拔牙。如果裂縫造成牙釉質和象牙質的感染,最好利用牙冠進行治療。值得注意的是,牙齒的裂縫經常是相當細微的,甚至連X光都難以察覺。當牙齒出現裂縫或斷裂時,不僅咀嚼食物時會感到疼痛,也會對冷熱食品、液體甚至氣流,相當敏感,而且拖得越久,症狀也越嚴重。
為了能使牙齒回復原位,關鍵就在於應儘快將脫落的牙齒重新植入牙槽內。因爲隨著時間被拉長,會有越來越多的牙根細胞死亡。在狀況允許下,請先用清水沖洗牙齒,並馬上將牙齒放回原位,然後火速向牙科醫師求助。當用手拿起牙齒時,請避免接觸牙冠以外的部位,也不要讓牙齒被風乾。雖然在落牙的兩小時內都有再植成功的可能,但還是最好是在30分鐘內對牙齒進行再植。當牙齒再植1到2周後,您還得進行牙根管治療 。
無論是由牙科醫師拔除還是因事故造成,一旦當牙齒永久脫落,都應該進行牙橋、假牙或者植體等替換治療,以避免往後的各種口腔問題發生,例如咀嚼及說話困難、其他牙齒錯位、因爲兩邊牙齒數目不均而引起的顳頷關節紊亂綜合症、頷骨退化等
如果您懷疑自己或者他人的下顎受損,請先不要隨便移動受損部位,再用手帕、領帶或毛巾等固定下顎,並視條件許可,使用冷敷法舒緩腫脹,然後立即到急診室就診或請求牙科醫師的幫助。
![]() | 門牙碎裂 |
![]() | 牙齒碎裂修復後的情況 |
![]() | "因撞傷造成牙齒永久脫落" |
![]() | 小心地將撞落的牙齒放回原位,並立即到牙醫處求助 |
本文旨在促進人們對常規口腔健康主題的理解並推廣相關知識,並不能替代專業意見、診斷或治療。如果有關於醫療狀況或治療的任何問題,請始終尋求牙醫或其他合格健康護理提供者的意見。



